Наши услуги

Результаты исследований доступны в различных форматах: на цифровых и аналоговых носителях, а также через облачный сервис.

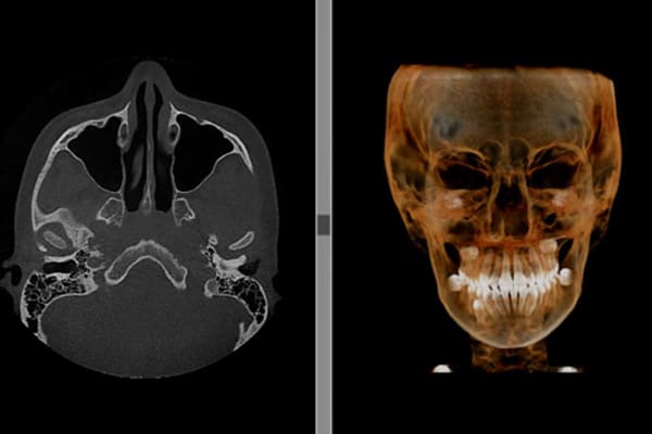
3D КОМПЬЮТЕРНАЯ ТОМОГРАФИЯ

  • КТ двух челюстей и ВНЧС
  • КТ двух челюстей
  • КТ одной челюсти
  • КТ двух сегментов
  • КТ одного сегмента
  • КТ двух-трёх рядом стоящих зубов

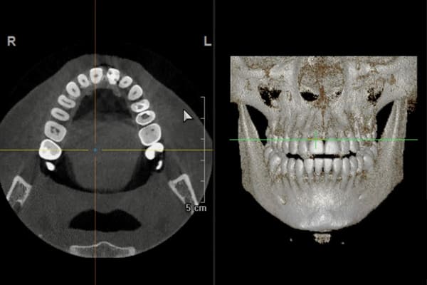
ИССЛЕДОВАНИЯ ВНЧС

  • КТ ВНЧС двух суставов в двух положениях
  • КТ ВНЧС двух суставов в одном положение
  • КТ ВНЧС в одном положении (один сустав)

ЛОР ИССЛЕДОВАНИЯ

  • КТ верхней челюсти и всех околоносовых пазух

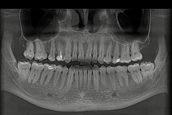
2D ЦИФРОВАЯ РЕНТГЕНОГРАФИЯ

  • Ортопантомограмма (ОПТГ)
  • Телерентгенограмма (ТРГ)
  • Зонограмма ВНЧС с открытым и закрытым ртом

ПАКЕТНЫЕ ПРЕДЛОЖЕНИЯ

  • Ортодонт 1 (ОПТГ + ТРГ одна проекция)
  • Ортодонт 2 (ОПТГ + ТРГ одна проекция) + анализ
  • Ортодонт 3 (КТ двух челюстей и ВНЧС + 3D-цефалометрия)
  • Ортодонт 4 (КТ двух челюстей и ВНЧС + ТРГ одна проекция)
  • Комплекс 1 (КТ двух челюстей и описание)
  • Комплекс 2 (КТ двух челюстей и ВНЧС и описание)

ДОПОЛНИТЕЛЬНЫЕ УСЛУГИ

  • Описание 3D КЛКТ
  • Описание 3D КЛКТ ЛОР
  • Описание ВНЧС (2 сустава в одном положении)
  • Описание 2D снимка
  • ТРГ-расчет
  • 3D Ceph цефалометрия
  • Отчет о состоянии зубов Diagnocat

Пациентам

Исследования, проведенные в диагностическом центре «Луч Х», направлены на то, чтобы обеспечить вашему врачу точные данные для постановки правильного диагноза и выбора оптимальной схемы лечения.

Качество и безопасность

В своей работе мы используем только проверенные и современные конусно-лучевые компьютерные томографы с минимальной лучевой нагрузкой (0,05 мЗв) и большим диапазоном размеров (от 6х6 до 16х18). А также собрали лучшую команду профессиональных рентген-лаборантов.

Оперативность и удобство

Специалисты нашего колл-центра подберут для вас оптимальный филиал, день и время для исследования. А также для вашего удобства у нас существует онлайн запись, где вы самостоятельно сможете сформировать свой визит к нам.

Результат

Нахождение в нашем центре займёт у вас не более 15-30 минут. Сразу после приема качественное и информативное исследование поступает вам и вашему лечащему врачу.

Сотрудничество

Мы разделяем ваши стремления! Ваша цель- достичь максимального результата, а наша задача - помочь в формировании эффективного плана лечения для ваших пациентов.

Уникальные условия

Индивидуальный подход к каждому клиенту.

Партнерство

Мы независимый диагностический центр, не консультируем, не даем рекомендации и не ставим диагнозы. Все пациенты вернуться к Вам для дальнейшего лечения.

Простая и удобная программа просмотра КТ исследований

Вы сможете просматривать снимки с любого компьютера.

Контакты

Свяжитесь с нами удобным для Вас способом.

Адреса филиалов:

Красноярск, ул. Алексеева, 49, 6 этаж, офис 6-21
Красноярск, ул. имени газеты Красноярский Рабочий, 160Е, 4 этаж
Красноярск, ул. Академика Киренского, 87Б, 5 этаж, офис 5-06
Красноярск, ул. Шумяцкого 2а, 1 этаж

Телефон:

+7 (391) 296‒12‒21
+7 (905) 976‒12‒21

E-mail:

luchxcenter@yandex.ru

Создание сайта: Создание сайта: eclibe.com
Записать пациента